Advanced Otology
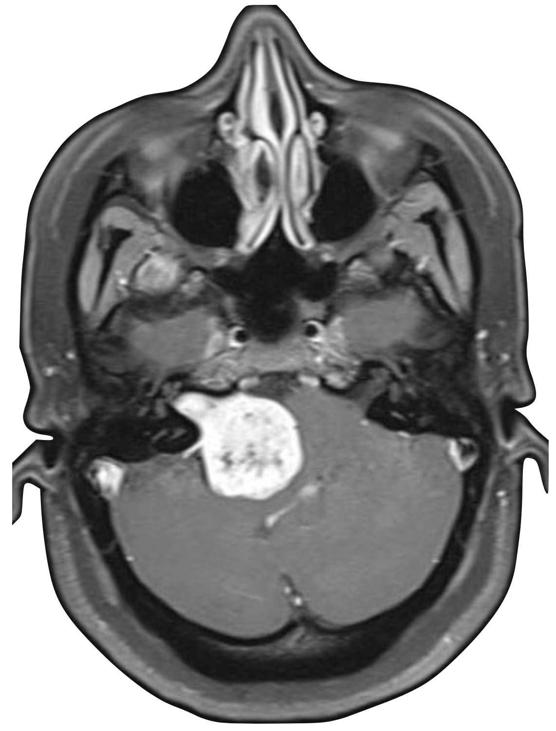
Advanced otology encompasses complex ear and skull base conditions requiring specialized surgical care. We offer cochlear implants and bone conduction implants for hearing loss, treat acoustic neuroma and temporal bone tumors, and perform stapes surgery for otosclerosis. Our team also manages cholesteatoma, superior canal dehiscence, and other advanced ear conditions. Select a topic below to learn more.
